首页

时政

视觉

活动

经济

青年夜校



观点

深度

乡村云


旅游

地方频道



健康

法治


发热仅1天,肺全白了!医生:极度危险,千万别当普通感冒

孩子感冒咳嗽看似常见,

可12岁女孩笑笑(化名)的经历

却让人感到后怕——

仅发热1天,左肺就变成了 “白肺”,

呼吸急促到无法平躺,

血氧饱和度勉强维持在90%左右,

情况十分危急!

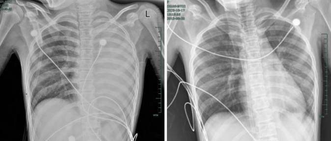
图片

治疗前后影响对比,左肺从“白肺”到正常状态。

什么病?如此来势汹汹?

危险藏在黏液里

据介绍,笑笑一开始只是轻微咳嗽,发热到38℃,检查提示肺炎、肺不张,转诊到浙大四院儿科时,病情已经急剧恶化。

呼吸急促、胸闷胸痛,体温38.5℃,只能靠 5L/min 的面罩吸氧维持血氧,胸片显示左肺已完全呈 “白肺” 改变,肺部炎症进展迅猛。

儿科虞琳副主任医师判断

笑笑极有可能是患上了

 “塑型性支气管炎”

图片

图片

图片

图片

来源|中国新闻网

[编辑|赵小博]